Artro Resonancia Magnética
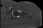
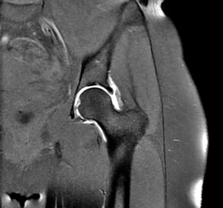
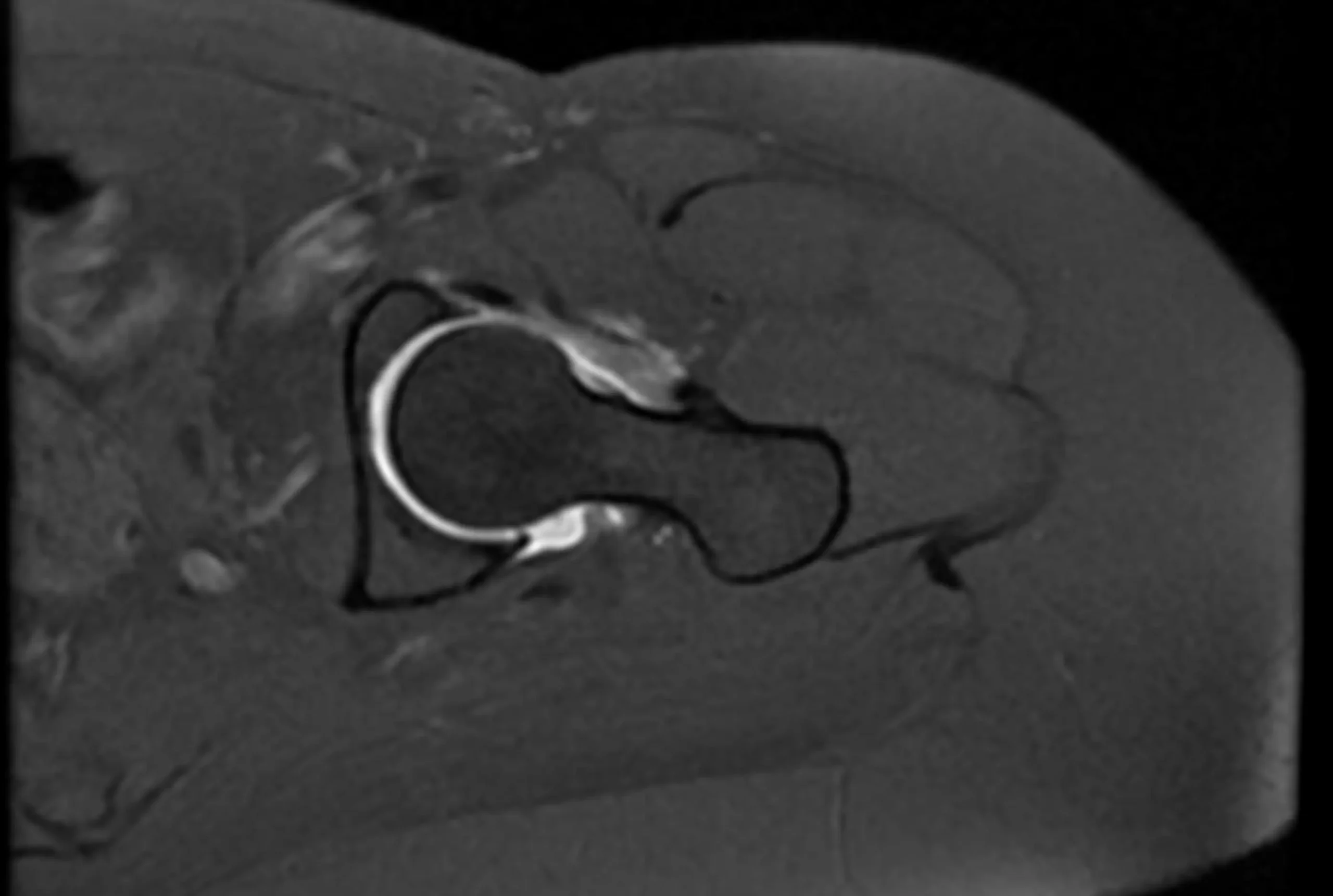
Es un estudio especializado de resonancia magnética donde el medio de contraste en vez de ser inyectado por vía intravenosa se inyecta directamente en la articulación para una mejor visualización de las estructuras articulares y mayor precisión diagnóstica en casos especiales, a estos estudios se les llama Artro-resonancia magnética y se utiliza principalmente en el estudio de la articulación de la cadera y articulación del hombro.


Único Hospital en México Avalado por la FIFA®