Cartigram
Estudio De Cartílago Articular Por Resonancia Magnética
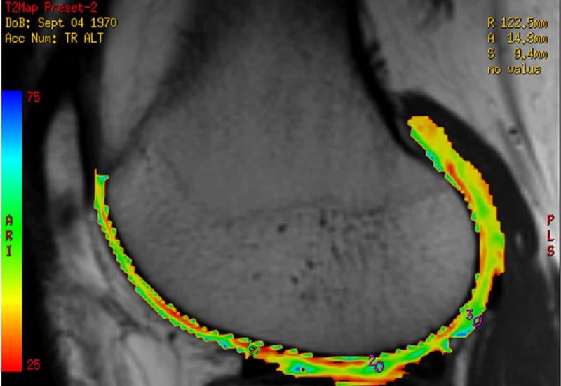
Es un estudio especializado de resonancia magnética donde se aplican secuencias específicas para la valoración del cartílago articular y detectar lesiones iniciales, aun cuando no son visibles en las secuencias convencionales. Esto se logra mediante secuencias que se conocen como mapa T2 o cartigram que consiste en la adquisición de un tren de ecos que permite el estudio del colágeno y la matriz extracelular del cartílago y así detectar lesiones microscópicas, permitiendo el diagnóstico y tratamiento tempranos, permitiendo a su vez realiza estudios de seguimiento para valoración de la respuesta del tratamiento inicial.


Único Hospital en México Avalado por la FIFA®